मंडळी, अपघात होणं ही एक नित्याची बाब झाली आहे. रस्त्यावरचा अपघात असो किंवा एखाद्या यंत्रामुळे झालेला असो, उंचीवरून पडणं असो वा चालता चालता पाय घसरून पडणं असो… या अपघातांमुळे कुणालाही इजा होऊ नये. पण कधी कधी इजा होते खरी. मुका मार बसतो, जखम होते, आणि अपघात फारच मोठा असेल तर हाड फ्रॅक्चर सुद्धा होतं. ज्यांचे हाड कधी फ्रॅक्चर झाले आहे तेच यातल्या वेदना समजू शकतात.
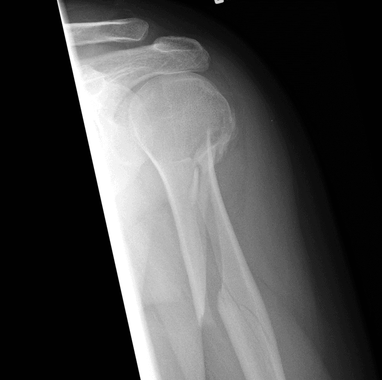
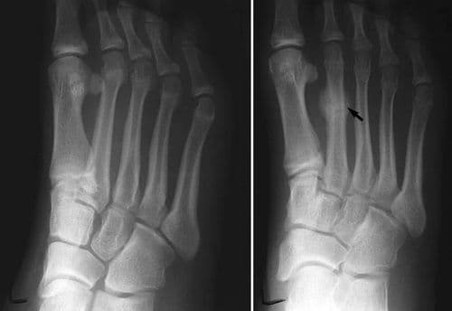
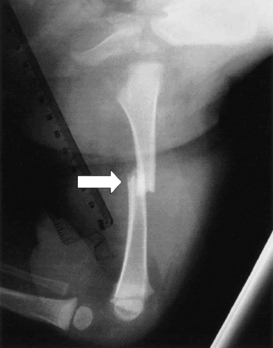
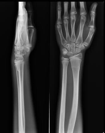
फ्रॅक्चरचे १५ प्रकार, तुमचं यातल्या कुठल्या प्रकारचं फ्रॅक्चर झालं होतं??


हाड तुटणे म्हणजेच हाड फ्रॅक्चर होणे. एखाद्या जोरदार आघाताने किंवा दबावाने हाड तुटू शकते. काहीवेळा ऑस्टीओपोरोसिस सारख्या आजाराने हाडे कमजोर होऊन हलक्या आघाताने सुद्धा तुटू शकतात. आजाराने कमजोर होऊन तुटलेल्या हाडांना पॅथोलॉजिकल फ्रॅक्चर असे म्हणतात. परंतु अपघाताने हाडे तुटण्याची टक्केवारीच जास्त असते. तुम्हाला माहीत आहे का, की आपल्या शरीरात समजा हाड तुटले तर ते आपोआप जुळून येत असते. ही शरीराची प्रक्रिया आहे. आपण फ्रॅक्चर वर जे उपचार घेतो ते फक्त या प्रक्रियेला वेग यावा म्हणून घेत असतो.
आपण बोलता बोलता म्हणून जातो, “अरे ऍक्सिडंट मध्ये हाड फ्रॅक्चर झालं.” पण मंडळी, आपल्या सर्वसामान्य लोकांचं ठीक आहे, पण वैद्यकीय भाषेत नुसतं एवढंच म्हणून चालत नाही. डॉक्टरांना ते फ्रॅक्चर नेमकं कोणतं आहे ते नीट तपासून मगच त्यावर इलाज करावा लागतो. आता तुम्ही म्हणाल की फ्रॅक्चर हे फ्रॅक्चर असतं. तर तसे नाही मंडळी. त्याचे सुद्धा असंख्य प्रकार आहेत. चला तर मग जाणून घेऊया किती प्रकारचे फ्रॅक्चर आपल्या शरीरात होऊ शकतात…

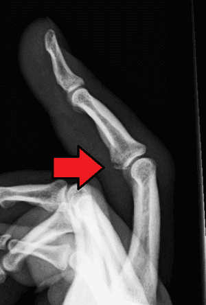
Avulsion Fracture - स्नायू किंवा अस्थिबंध (दोन हाडांना जोडणारी जागा) यामुळे झालेले फ्रॅक्चर.

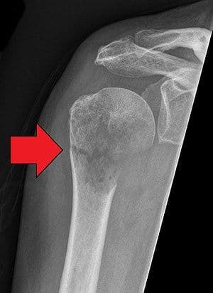
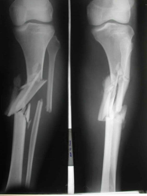
Comminuted Fracture - हाडांचा पूर्णतः चुरा होणे.

Compression (Crush) Fracture - हे शक्यतो पाठीच्या कण्यातील मऊ हाडांमध्ये आढळते. याचे कारण ऑस्टीओपोरोसिस असते.

Fracture Dislocation - सांध्यातील एका हाडाला फ्रॅक्चर असल्याने सांधा निखळणे.

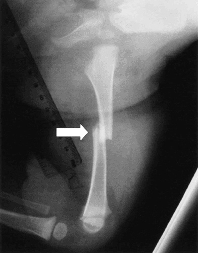
Greenstick Fracture - एका बाजूने फ्रॅक्चर, पण हाड वाकल्याने ते पूर्ण न तुटणे. हे फ्रॅक्चर लहान मुलांमध्ये जास्त आढळून येते कारण त्यांची हाडे लवचिक असतात.

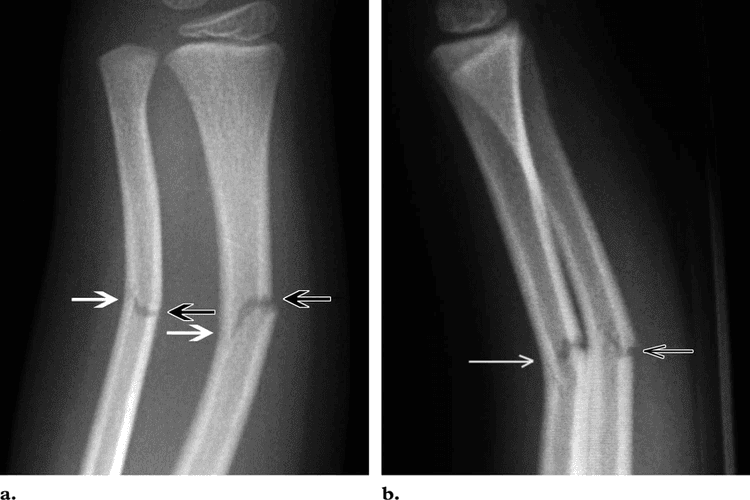
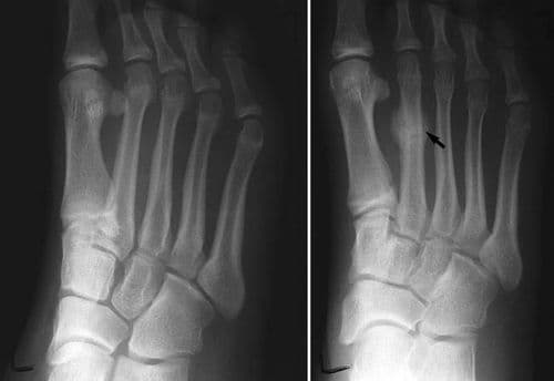
Hairline Fracture - अतिशय बारीक फ्रॅक्चर जे कधी कधी एक्स रे मधून दिसत नाही.

Impacted Fracture - एखादे हाड तुटते तेव्हा त्या हाडाचा हिस्सा दुसऱ्या हाडांमध्ये घुसण्याची स्थिती.

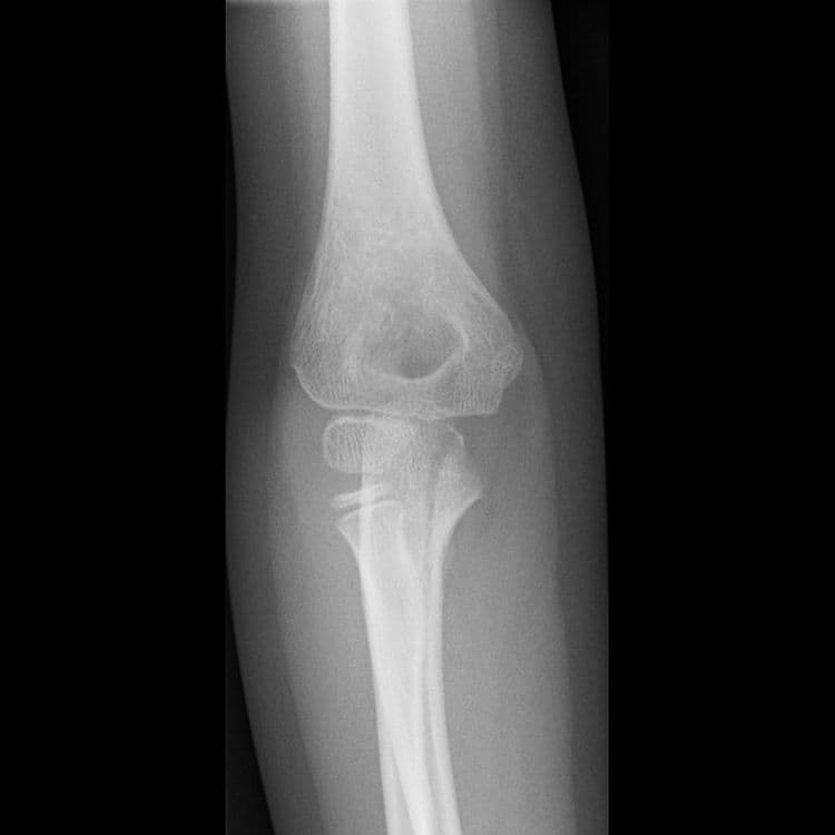
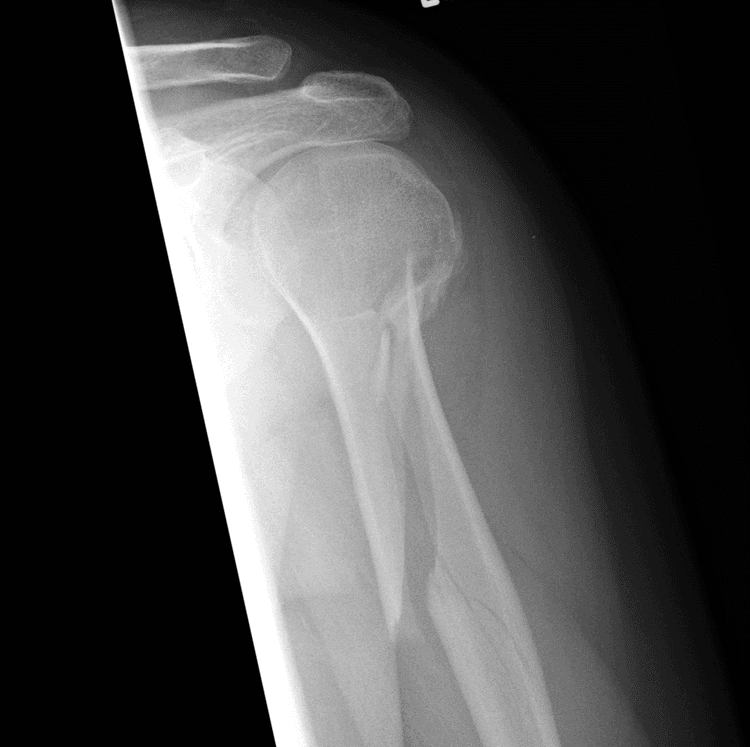
IntraArticular Fracture - हाडासोबतच सांध्याचा पृष्ठभाग सुद्धा फ्रॅक्चर होणे.

Longitudinal Fracture - हाडाच्या लांबीवर उभा तुकडा पडणे.

Oblique Fracture - हाडाच्या अक्षावर झालेले फ्रॅक्चर.

Pathological Fracture - आजारामुळे हाडे कमजोर होऊन तुटणे.

Spiral Fracture - हाडाच्या एखाद्या भागाला पीळ पडणे.

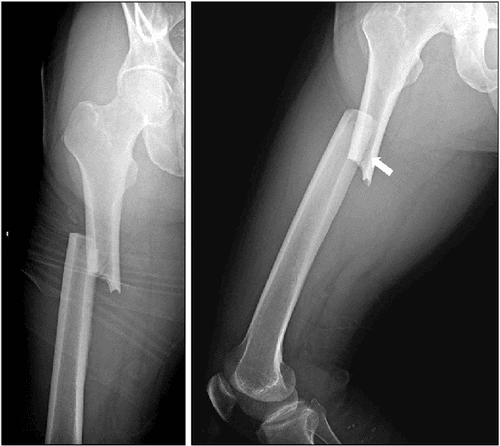
Stress Fracture - विशिष्ट भागावर नेहमी दबाव किंवा ताण पडून तुटणे. हे फ्रॅक्चर खेळाडूंमध्ये जास्त आढळून येते.

Torus Fracture - यात हाड तुटत नाही पण हाडाचा आकार बदलल्याने वेदना होतात.

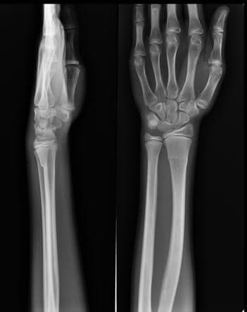
Transverse Fracture - हाडाचा सरळ सरळ मध्यभागातून तुकडा पडणे.
मंडळी, आता तुम्हाला समजलं असेलच की असे वेगवेगळे फ्रॅक्चर शरीरातील हाडांमध्ये होऊ शकतात. एकदा फ्रॅक्चर झाले की त्याची काळजी डॉक्टर घेतातच, पण फ्रॅक्चर होऊ नये म्हणून आपण आधीच काळजी घेतलेली बरी असते ना? आपली हाडे मजबूत राहावीत म्हणून आपण पुढील उपाय करू शकतो…

योग्य पोषक आहार आणि सूर्यप्रकाश -
हाडे सशक्त राहावी म्हणून मानवी शरीराला पुरेश्या कॅल्शियमची गरज असते. दूध, चीज, दही आणि हिरव्या पालेभाज्यांमधून हे कॅल्शियमचे उत्तम स्रोत आहेत. हे कॅल्शियम शरीरात सामावून घेण्यासाठी व्हिटॅमिन डी ची आवश्यकता असते. अर्थातच हे व्हिटॅमिन डी सूर्यप्रकाशात मुबलक प्रमाणात उपलब्ध आहे.

शारीरिक व्यायाम -
योग्य प्रमाणात केलेला व्यायाम तुमच्या शरीराला सुदृढ बनवतो. हाडांना अधिक मजबूत बनवण्यासाठी तज्ज्ञांच्या सल्ल्याने केलेला व्यायाम फायदेशीर ठरतो. शक्य होईल तेवढे चालणे, पळणे, पोहणे इत्यादी गोष्टी कटाक्षाने पाळल्या पाहिजे. वय वाढते तसे हाडे कमजोर होत जातात. त्यामुळे हालचाली मंदावतात. तरुणपणी केलेला व्यायाम म्हातारपणी साथ देतो असे म्हणायला हरकत नाही.

रजोनिवृत्ती -
महिलांमध्ये रजोनिवृत्तीच्या काळात कॅल्शियम नियंत्रित ठेवणाऱ्या इस्ट्रोजेन या हार्मोनचे प्रमाण झपाट्याने घसरते. यामुळे हाडे ठिसूळ होतात. याला ‘पोस्ट-मेनोपॉजल ऑस्टिओपोरोसिस’ असे म्हणतात. महिलांनी आपली हाडे मजबूत राहण्यासाठी धूम्रपान, मद्यपान टाळणे हितकर ठरते. तसेच सूर्यप्रकाशात फिरणे, कॅल्शियम युक्त आहार घेणे आणि व्यायाम करणे हे पथ्य पाळले तर फायदेशीर ठरते.
तर मंडळी, कसा वाटला लेख? कमेंट्स मध्ये अवश्य कळवा.
लेखक : अनुप कुलकर्णी.
टॅग्स:
संबंधित लेख

एलॉन मस्क ते जेफ बेझोस... जगप्रसिद्ध मंडळी काय खातात?
६ जून, २०२२

आख्ख्या जगाची डोकेदुखी : मायग्रेन म्हणजेच अर्धशिशीची कारणं, लक्षणं वाचा आणि उपायही जाणून घ्या!!
३ सप्टेंबर, २०२१

खाद्यतेलाचे हे विविध प्रकार तुम्ही कधी वापरले आहेत का? त्यांचे फायदे तुम्हाला माहित आहेत का?
१० मे, २०२२

फिट्नेस चेक करायचा आहे ? तुमच्या स्नायूंची ताकद अशी अजमावून बघा !!
२६ ऑगस्ट, २०२१

