आजकाल "दोन रूपयांत दातांमधली कीड घालवा"सारखे लेख फेसबुक आणि व्हॉट्सॲपवर फिरू लागले आहेत. आरोग्याची काळजी घ्यावी असे सगळ्यांनाच वाटतं. पण होतं काय, हे फॉर्वर्ड्समधून आलेले उपाय खरेच असतात की नाही याबद्दल जबरदस्त शंका असते. म्हणून आम्ही पुण्याचे डेंटिस्ट डॉ. मंदार जोगळेकर यांच्याशी संपर्क साधला आणि त्यांनी त्यांचा इतरत्र पूर्वप्रकाशित लेख बोभाटाच्या वाचकांसाठी उपलब्ध करून दिला आहे.

अर्थातच, दंतविकार टाळण्यासाठी आपण काय घरगुती काळजी घेऊ शकतो याबद्दलचे पालकांमधले समज गैरसमज लक्षात घेऊन ही प्रश्नोत्तरे मांडण्यात आली आहेत. मात्र गंभीर आजार किंवा विशेष मुलांच्या आजारांच्या बाबतीत तज्ञांचा सल्ला घ्यावा. इथं दिलेली उत्तरे सर्वसाधारणपणे आढळणार्या दाताच्या आजारांबद्दल आहेत.
प्रश्न १ : दंतक्षय ( दातांची कीड) म्हणजे काय ?
Dental Caries (दातांची कीड) हा एक तोंडामधल्या जीवाणूंमुळे होणारा आजार आहे. अर्थातच दातांमध्ये कोणताही किडा किंवा अळी नसते. काही गावांत कानात औषध घालून तोंडातून दातांचा किडा बाहेर काढून दाखवणारे रस्त्याकडचे कलाकार असतात. ते असो. त्या हातचलाखीबद्दल पुन्हा कधीतरी...
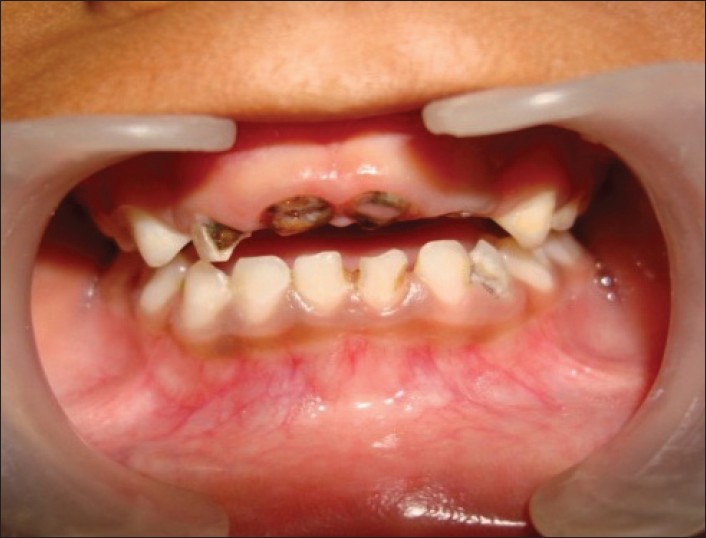
तोंडात असलेले जीवाणू दातावर साठून राहिलेल्या अन्नकणांमधल्या साखरेवर प्रक्रिया करून ऍसिड तयार करतात आणि या ऍसिडमुळे दाताच्या पृष्ठभागावरचे आवरण विरघळायला सुरुवात होते. ही प्रक्रिया हळूहळू पण सतत सुरू राहते. या आवरणाला पडलेल्या छिद्रामध्ये अजून अन्नकण अडकतात, अधिकाधिक जीवाणू ऍसिड हल्ला सुरू ठेवतात, छिद्र वाढत राहते, दाताचा पृष्ठभाग पोखरला जातो आणि मग दाताला मोठा खड्डा पडतो. यालाच आपण कॅव्हिटी म्हणतो. ही दाताची कॅव्हिटी आकाराने लहान असतानाच ती डेन्टिस्टकडून भरून घेणे उत्तम. दाताला एकदा छिद्र पडले की ते (जखम भरल्याप्रमाणे) आपोआप भरून येऊ शकत नाही. कारण दाताला त्वचेप्रमाणे पुनरुत्पादन क्षमता नाही हे लक्षात घेतले पाहिजे. पण जेव्हा वेदना नसते, त्याकडे सामान्यत: दुर्लक्ष केले जाते हे वैश्विक कटूसत्य आहे.
दातावरचं आवरण पोखरून जीवाणू डेन्टीन नावाच्या दाताच्या दुसर्या थरात प्रवेश करतात. इथे क्वचित वेदना सुरू होते, गोड खाताना थोडा काळ वेदना होते, पण लगेचच थांबते. दातांमध्ये चांदी किंवा कॉम्पोझिट भरण्याची ही योग्य वेळ आहे. पण यापुढेही थांबल्यास जीवाणू दाताच्या नसेत शिरतात ( pulp exposure) आणि असह्य वेदना सुरू होतात.
प्रश्न 2 : कीड लागणे टाळण्यासाठी काय करावे?
हे समजून घेण्याआधी कीड कशी पसरते हे आधी समजून घ्यावं लागेल.
स्रोतहे चित्र पाहिल्यावर हे लक्षात येईल की कीड लागण्यासाठी १. जीवाणू २. दाताचा पृष्ठभाग ३. अन्नातली साखर ४. प्रक्रियेसाठी लागणारा वेळ या चार गोष्टी आवश्यक आहेत. यातली एकही गोष्ट नसेल तर कीड लागणार नाही.
याचा अर्थ कीड टाळण्यासाठी या चार घटकांपैकी जमेल त्या एखाद्या किंवा सार्या घटकांवरती नियंत्रण आणण्याचा प्रयत्न केला पाहिजे.
१.आपण तोंडातले जीवाणू संपवू शकत नाही. कारण निरोगी तोंडातही जीवाणू असतात. ज्यांना Normal oral microflora म्हटलं जातं.
२.आपण दातांचा पृष्ठभाग / इनॅमल(आवरण) फ़्लुराईड पेस्टच्या वापराने थोडासा बळकट करू शकतो, ज्यायोगे त्याला सहज कीड लागणार नाही किंवा कीड लागायच्या अगदी सुरुवातीच्या काळामध्ये ही प्रक्रिया उलटवता येईल. अर्थातच दुखर्या दाताच्या मोठ्या छिद्राला फ़्लुराईडचा उपयोग होणार नाही.
३.अन्नातली साखर / पिष्टमय पदार्थ : यावर नियंत्रण आणणे सर्वस्वी आपल्या हातात आहे. दातांच्या पृष्ठभागावर अडकून राहू शकतील असे गोड पदार्थ कमी खाणे, उदा. चॉकलेट्स आणि चिकट मिठाई टाळणे, दोन जेवणांमधले स्नॅकिंग किंवा सतत गोड पदार्थ चरत राहणे टाळणे आणि तंतुमय पदार्थ ( कच्च्या भाज्या, फ़ळे) खाणे महत्त्वाचे.
४. प्रक्रियेचा वेळ : क्वचितच गोड पदार्थ खाल्ले तर लगेचच ब्रशचा वापर करून चिकट अन्नपदार्थ चुळा भरून दातावरून काढून टाकणे. आता हे लगेच म्हणजे किती लगेच? तर लहान मुलाच्या एका हातात चॉकलेट असेल तर दुसर्या हातात ब्रश हवा. चॉकलेट संपले की ब्रशिंग सुरू झाले पाहिजे तरच कीड टाळता येईल. अशा प्रकारे आपण चौथ्या घटकावर नियंत्रण आणू शकतो.
लहान मुलांमधील कीड टाळण्याचे उपाय :
१. आहारावरती नियंत्रण : बाळांना बाटलीने दूध शक्यतो देऊ नये, विशेषत: झोपताना गोड दूध रात्रभर वरच्या दातांवरती साठून राहते आणि “ नर्सिंग केरीज” उद्भवतात.
स्रोत
स्रोतबाटली द्यायचीच असेल तर झोपताना बिनसाखरेच्या पाण्याची बाटली द्यावी. गोड कमी, थेट साखर नको,चॉकलेटे मिठाया, स्नॅकिंग बंद. तंतुमय पदार्थ , कच्च्या भाज्या फ़ळे उत्तम.
२. होम केअर : रात्री जेवण झाल्यावर झोपण्यापूर्वी ब्रशिंगची सवय मुलांना लावणे आणि मुलांसमोर स्वत: रोज रात्री दात ब्रश करण्याचा आदर्श घालून देणे हे पालकांचे कर्तव्य आहे. लहान बाळांसाठी बेबी ब्रश वापरावा, किंवा मूल एक वर्षाचे होईपर्यंत झोपण्यापूर्वी स्वच्छ ओल्या रुमालाने उगवणारे दात पुसून काढावेत. मुले किमान पाच वर्षांची होईपर्यंत पालकांनी स्वत: त्यांचे दात ब्रश करून द्यावेत. या निमित्ताने दातांची तपासणी पालकांना करता येते आणि दातांवरचे काळे डाग, खड्डे, फ़टी या दात दुखायला सुरू होण्यापूर्वीच शोधता येतात. थोड्या मोठ्या मुलांसाठी त्यांना फ़्लॉसिंग शिकवणे आणि फ़्लॉसिंगची सवय लावणे दातांचे आरोग्य टिकवण्यासाठी महत्त्वाचे आहे.
३. दंतवैद्याकडच्या भेटी : आधी लिहिल्याप्रमाणे दाताची कीड वेदना सुरू होण्यापूर्वी ओळखून फ़िलिंग करणे आणि होम केअर शिकून घेण्यासाठी आणि स्वच्छता करण्यासाठी नियमित दंतवैद्याच्या भेटी घेतल्यास उत्तम. (पण अर्थात आपल्याकडे ती संस्कृती यायला वेळ आहे). दातांची ताकद वाढवायला दाढांवर फ़्लुराईड लावायची ट्रीटमेन्ट लहान मुलांच्यात केली जाते. किंवा कीड लागण्यापूर्वीच पक्क्या दाढांमध्ये रेझिन सीलंट लावले जाते, ज्यामुळे दातांत अन्नकण अडकत नाहीत आणि कीड लागत नाही.
प्रश्न ३: सीलंट आणि फ्लुराईड ट्रीटमेन्ट म्हणजे काय ?
बरेचदा डेन्टिस्ट लहान मुलांच्या पक्क्या दाढांमध्ये सीलंट्स भरायला सांगतात. सीलंट्स लावणे ही एक दात किडणे टाळण्यासाठी डेन्टिस्टकडे केली जाणारी उपचार पद्धती आहे. दाढांचा चावण्याचा पृष्ठभाग सपाट नसतो तर तो उंचसखल असतो , ज्यावर खोलगट रेघा असतात. या रेघांना Pits and fissures म्हटलं जातं.
स्रोतया खोलगट रेघांमध्येच अन्न अडकते आणि कीड लागायची प्रक्रिया सुरू होते. दात किडण्यापूर्वीच या खोलगट रेघा एका रेझिन मटेरियलने भरल्या, तर अन्न अडकणार नाही आणि कीड लागणे टाळता येईल या उद्देशाने लहान मुलांच्या पक्क्या दाढा उगवतानाच ( म्हणजे सुमारे सहा ते सात वर्षे वयाला) या दाढा सीलंटने भरून घ्याव्यात.
स्रोत
प्रश्न ४ फ़्लुराईड ट्रीटमेन्ट म्हणजे काय?
लहान मुलांच्या दाताच्या इनॅमलची ताकद वाढवण्यासाठी फ़्लुराईड वापरले जाते. साधारणपणे लहान मुलांची दाताची सर्व फ़िलिन्ग्ज करून झाल्यानंतर फ़्लुराईड ट्रीटमेन्ट केली जाते. फ़्लुराईड जेल, फ़ोम किंवा वॉर्निश या माध्यमात उपलब्ध असते. डेन्टिस्ट छोट्याशा ट्रेमध्ये फ़्लुराईड मटेरियल लावून मुलांच्या दातावर मिनिटभरासाठी लावून ठेवतात. हे फ़्लुराईड इनॅमलमध्ये पोचण्यासाठी त्यानंतर काही काळ ब्रश करू नये असे सांगितले जाते.
काही मुलांमध्ये कीड लागण्याचे प्रमाण जास्त असल्यास दर सहा महिन्यांनी फ़्लुराईड लावण्याचा सल्ला दिला जातो
प्रश्न ५- हल्लीच्या पिढीत कीड जास्त का दिसते? गेल्या पिढीशी तुलना करता हल्लीच्या मुलांचे दात जास्त किडतात, हे खरे आहे का? खरे असल्यास का?
दाताला कीड का लागते हे या लेखात वरती लिहिले आहे. हल्लीच्या मुलांच्या दाताला कीड लागण्याचे महत्त्वाचे कारण या पिढीचा बदलता आहार आणि दात साफ़ करायच्या (नसलेल्या) सवयी हे आहे.
हा प्रश्न दवाखान्यामध्ये साधारणपणे लहान मुलांच्या आजोबा- आज्जींकडून विचारला जातो. त्यांचा बोलण्याचा रोख साधारणपणे असा असतो की --- “आम्ही आणि आमची भावंडे यांना कधी लहानपणी दातांची दुखणी झाली नाहीत. आम्हीही दोन तीन लहान मुले वाढवली, त्यांना कधी त्रास झाला नाही आणि या एवढुशा पाच वर्षांच्या पोराला तुम्ही तीन तीन रूट कॅनाल ट्रीटमेन्ट करायला सांगताय..”
आजोबांचं म्हणणं बरोबर असतं. मी ते मान्यच करतो. मग त्यांना सांगतो , “एवढुशा मुलाला मग का बरं इतक्या कॅविटीज झाल्या असतील? त्याची कारणं तर शोधूयात. हा मुलगा रोज काय काय जेवतो? आणि दोन जेवणांमध्ये काय काय खातो? “ मग पुष्कळ उत्तरे मिळतात. ९५ % शहरी मुलांमध्ये चॉकलेट्स, अनेक प्रकारचे केक्स आणि पेस्ट्रीज, बिस्किट्स, वेफ़र्स आणि त्याचे विविध प्रकार, बर्गर्स अणि कोला आणि एकूणच जोरदार जंक फ़ूड असते. “हा मुलगा जेवतच नाही, मग तो वेफ़र्सच खातो, टीवी बघत एका बैठकीत कुरकुरेचं पाकीट संपवतो, रोज कोल्डड्रिन्क पितो, झोपताना त्याला चॉकलेट खूप आवडतं “वगैरे.
स्रोतमग मी विचारतो, तुम्ही यातलं काय काय खात होता? अर्थातच उत्तर येतं, “ आमच्या वेळी असलं काही नव्हतं आणि असलंच तर कधी आमच्यापर्यंत आलंच नाही .. आम्ही कच्च्या भाज्या ( काकडी, गाजर, बीट इ.इ.) आणि कधी कधी फ़ळं खायचो ” ... मग मी त्यांना सांगतो की तंतुमय पदार्थ, कच्च्या भाज्या आणि फ़ळे आहार म्हणून शरीराच्या वाढीसाठी चांगली असतातच, शिवाय दातांच्या आरोग्यासाठीही उत्तम असतात. त्यामुळे हेच अन्न तुमच्या नातवाने खाणे महत्त्वाचे आहे. आणि ते तुम्हाला आणि तुमच्या कुटुंबियांनाच करायचे आहे. कोणताही डॉक्टर त्याला रोज खायला घालणार नाहीये. आता हे जंक फ़ूड शून्यावर आणणे अगदी आदर्श असले, तरी प्रत्यक्षात शक्य होईलच असे नाही. मात्र क्वचित एखादे चॉकलेट मुलाने खाल्लेच तर लगेच ब्रश करून दात आणि दाढा स्वच्छ करायला हव्यात.
आहार खूप उत्तम आणि योग्य असला आणि शिस्तशीर ब्रशिंगच्या सवयी नसल्या तर कदाचित तुम्ही कीड लागण्यापासून स्वत:ला वाचवू शकालही. पण आहारही वाईट ( कचरान्न शब्द कसा वाटतो?) आणि ब्रशिंगच्या योग्य सवयीही नाहीत, तर मग मात्र तुम्ही त्या मुलाच्या चार पाच वर्षाच्या वयामध्ये किडलेल्या दाढा घेऊन डेन्टिस्टाच्या वार्या करायची तयारी ठेवली पाहिजे. या सार्याचा अर्थ इतकाच की आहार आणि ब्रशिंगच्या चांगल्या सवयी महत्त्वाच्या. पिढीचा यात काहीही संबंध नाही.
स्रोत
प्रश्न ६: दाताची कीड अनुवांशिक असते का?
याचे उत्तर ”दातांची कीड अनुवांशिक नाही” असे आहे. पण कीड लागण्याची कारणे वाढवणार्या सवयी मात्र कुटुंबात सर्वांना सारख्या असतात. भरपूर गोड खाणे, दोन जेवणांच्या मधल्या वेळात चॉकलेट्स, बिस्किट्स असे गोड चरत राहणे, रात्री झोपताना दात ब्रश न करता आईस्क्रीम / कोल्डड्रिंक पिऊन झोपणे अशा आहाराच्या वाईट सवयी आणि रात्री ब्रशिंग आणि फ़्लॉसिंग न करायच्या वाईट सवयी या एका कुटुंबात सर्वांनाच असतात. त्यामुळे समजून उमजून या सवयींमध्ये जाणीवपूर्वक बदल करेपर्यंत दातांची कीड लागण्याच्या सवयी पुढच्या पिढीतही दिसत राहतात
लेखक - मंदार जोगळेकर,
डेंटिस्ट, मायक्रोस्कोप डेंडिस्ट, इम्प्लांटोलॉजिस्ट,
पुणे.
( क्रमशः )





