(प्रातिनिधिक फोटो)
साधारणपणे माणसाचं हृदय डाव्या बाजूला असतं, पण ‘Dextrocardia’ हा आजार असलेल्या माणसाचं हृदय उजव्या बाजूला असतं. या आजारावर आधारित आपल्याकडे इम्रान खान आणि संजू बाबाचा ‘लक’ नावाचा सिनेमा येऊन गेला.

(हृदय उजव्या बाजूला)
आज या आजाराची आठवण होण्यामागचं कारण म्हणजे उत्तर प्रदेशमध्ये सापडलेला एक माणूस. उत्तर प्रदेशच्या कुशीनगर भागात राहणाऱ्या या माणसाचं फक्त हृदय नाही तर त्याच्या शरीरातील जवळजवळ सगळेच अवयव विरुद्ध दिशेत आहेत.
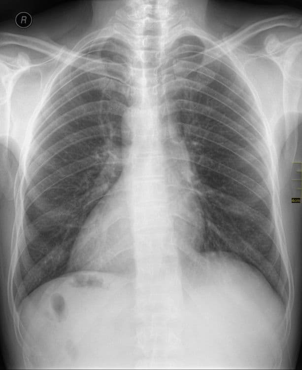
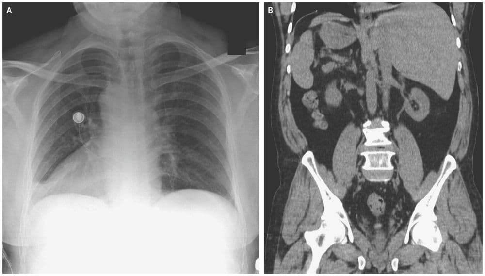
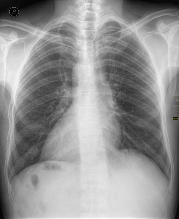
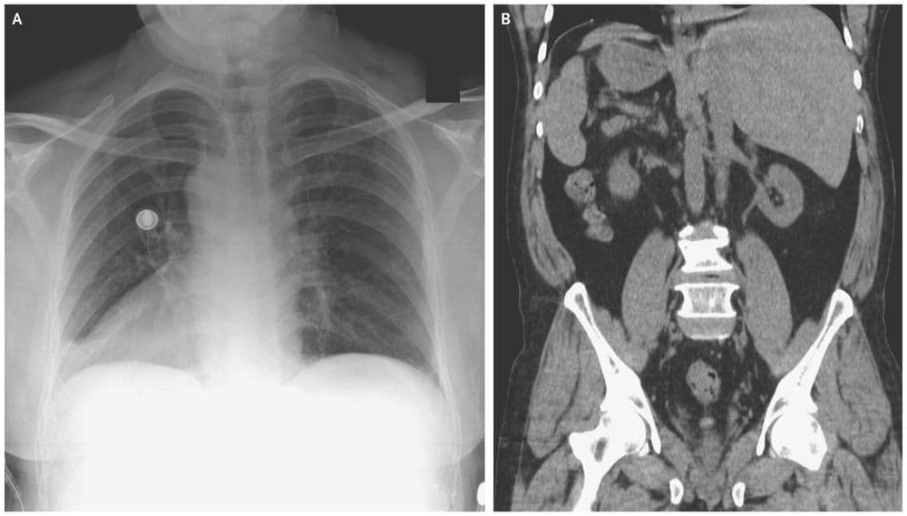
जमालुद्दीन नावाचा हा माणूस नुकतंच पोटदुखीमुळे डॉक्टरांकडे आला होता. डॉक्टरांनी एक्स-रे काढल्यावर त्यांना धक्काच बसला. जमालुद्दीनच्या शरीरातील अवयव विरुद्ध बाजूला होते. त्याचं हृदय उजवीकडे आहे तर यकृत आणि पित्ताशय डाव्या बाजूला आहेत.

त्याच्या पोटात दुखण्याचं कारण होतं पित्ताशयात असलेले खडे, पण पित्ताशय डाव्या बाजूला असल्याने ऑपरेशन करणं अवघड झालं आहे. यासाठी आता नवीन तंत्रज्ञान वापरून त्याच्यावर उपचार केले जातील.
मंडळी, या प्रकाराला शास्त्रीय भाषेत Situs inversus म्हणतात. ही एक अवस्था असून यात माणसाच्या शरीरातील प्रमुख अवयव उलट्या दिशेत असतात. एकूण लोकसंख्येच्या अवघ्या ०.०१% एवढ्याच लोकांमध्ये ही अवस्था सापडते. बऱ्याचशा लोकांना आपल्या शरीरात असे उलटे अवयव आहेत हे माहितीच नसतं. त्याचा शरीरावर विपरीत परिणाम देखील होत नसतो.

तर मंडळी, तुमच्या ओळखीत असा कोणी लाखात एक माणूस आहे का ? असेल तर नक्की सांगा !!






