अगदी त्याच्या शब्दात सांगायचं तर, तो इतरांसाठी आंब्याचं रोप लावत होता अन त्याचवेळी ते इतर लोक लांब उभे राहून त्याला हसत होते. हा अनुभव फार वाईट होता. आधुनिक कार्डिओलॉजीचा पाया रचणाऱ्या या शास्त्रज्ञाने म्हणजेच डॉक्टर वर्नर फोर्समन याने नक्की काय केलं होतं, ज्यामुळे जगाने त्याला वेडं ठरवलं होतं?
त्याने केला होता एक साहसी प्रयोग. काहीसा अचाटच म्हणावा असा. पण आज त्याचाच परिणाम म्हणून आपल्यासाठी पेसमेकर बसवणं, अँजिओप्लास्टी किंवा हृदयाच्या झडपा (व्हॉल्व्ह) ची दुरुस्ती यांसारख्या गोष्टी सोप्या झाल्या आहेत. हे उपचार काय आहेत? तर पेसमेकर हे असं उपकरण आहे जे छातीमध्ये त्वचेलगत बसवलं जातं. हे उपकरण हृदयाचे ठोके अनियमित पडत असल्यास त्यांना नियमित करतं. तर हृदयाला जोडलेल्या रक्तवाहिन्यांमध्ये असलेले अडथळे म्हणजे ब्लॉक्स काढून टाकण्यासाठी अँजिओप्लास्टी ही प्रोसिजर वापरली जाते. ही सर्व या फोर्समन महाशयांची देणगी!

तर या फोर्समनचं बालपण गेलं जर्मनीतल्या एका गावात. मध्यमवर्गीय कुटुंबात. पहिल्या महायुद्धादरम्यान वडिलांचा मृत्यू झाल्यानंतर आईने त्याला वाढवलं. फोर्समन सर्जरीचं ट्रेनिंग घेत असताना एकदा त्याला फिजिओलॉजीच्या पुस्तकात एक आकृती दिसली. त्यामध्ये घोड्यांच्या ज्यूग्युलर व्हेनमध्ये (डोक्याकडून हृदयाकडे ऑक्सिजनविरहीत रक्त वाहून नेणारी रक्तवाहिनी) लांब आणि बारीक नळी घातली गेली होती आणि ती त्याच्या हृदयापर्यंत नेली होती. यात हृदयाच्या अंतर्भागातील प्रेशर मोजण्यासाठी फुग्याचा वापर केलेला होता. ते वर्ष होतं १९२९. ती आकृती पाहून फोर्समनच्या डोक्यात एकदम एक कल्पना चमकली. हे असं माणसाच्या बाबतीत करता आलं तर... असंही जीव वाचवण्यासाठीची आवश्यक औषधं हृदयात योग्य तिथे पोहोचवण्यासाठी एखाद्या साध्यासोप्या आणि तुलनेने कमी धोकादायक मार्गाच्या तो शोधात होताच! जर घोड्याप्रमाणे हे कॅथेटरचं तंत्र माणसांत वापरता आलं असतं तर ती एक क्रांती ठरणार होती.
मात्र त्याचवेळी ही नळी घोड्याप्रमाणे ज्यूग्युलर व्हेनमधून न घालता हाताच्या कोपराजवळ असलेल्या शिरेमधून घालता येईल आणि त्याने काम जास्त सोपं होईल हे त्याच्या लक्षात आलं. आपला मार्गदर्शक आणि कौटुंबिक मित्र असलेल्या डॉक्टर श्नायडर याच्या कानावर त्याने ही गोष्ट घातली.

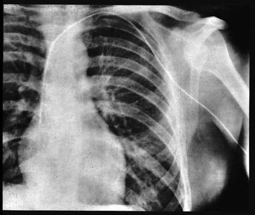
आयडिया भन्नाट असली तरी हा प्रयोग करायचा कसा हा मोठा प्रश्न होता. शेवटी त्याने गर्डा डित्झन नावाच्या नर्सला या प्रयोगासाठी तयार केलं. हा प्रयोग स्वतःवर करण्याच्या दृष्टीने त्याने तयारी करायला सुरुवात केली. त्यासाठी त्याला एक कॅथेटर हवा होता आणि तो जिथे ठेवला होता त्या कपाटाच्या किल्ल्या या गर्डाच्या ताब्यात होत्या. तिच्या उपस्थितीत त्याने स्वतःवरचा प्रयोग सुरू केला. हा प्रयोग तसा चांगलाच धोकादायक होता. चुकून कॅथेटर इकडे तिकडे एखाद्या व्हेनमध्ये घुसला असता तर जिवावर बेतण्याची भीती होती. कॅथेटर आत घालण्यासाठी फोर्समनने कोपराजवळची शीर निश्चित केली होती. लोकल ऍनास्थेशियाच्या अंमलाखाली डाव्या कोपराजवळ एक छोटासा छेद देऊन त्याने त्यातून ६५ सेंटीमीटर लांबीची बारीक नळी या शीरेमध्ये सरकवली आणि सरकवत सरकवत पुढे रेटली. हृदयाच्या आतील थरापर्यंत पोहोचण्यासाठी ही नळी त्यातल्या त्यात जास्त लांब व बारीक आणि त्यामुळेच योग्य होती. नंतर हाताला ती नळी अशीच लोंबकळत ठेवून हे दोघंजण एक्सरे डिपार्टमेंट कडे निघाले.
पहिल्या एक्स-रे मध्ये दिसलं की कॅथेटर योग्य जागी पोहोचला नव्हता. मग परत एकदा निकराचा प्रयत्न करून त्याने हा कॅथेटर अक्षरशः पुढे ढकलला आणि परत एकदा एक्स-रे घेतला. यावेळी मात्र कॅथेटर हृदयाच्या उजव्या बाजूकडील वरच्या कप्प्यात म्हणजेच राइट ऑरिकलमध्ये पोहोचल्याचं दिसलं. मोठा विलक्षण क्षण होता तो! आजवरच्या कल्पनेचं हे सत्य स्वरूप होतं, शिवाय इतरांना दाखवण्यासाठी एक्स-रे च्या स्वरूपात भक्कम पुरावा प्राप्त झाला होता.

शारीरिक पातळीवरचं वेदनादायी आणि तितकंच उत्कंठावर्धक असं धाडस संपलं, मात्र मानसिक स्तरावरची आव्हानं कायम होती. या प्रयोगाला हरकत घेणारे, तो करणं कसं धोकादायक आहे हे वारंवार निक्षून सांगणारे सगळेच जण त्याच्या विरोधात उभे राहिले होते. अगदी डॉक्टर श्नायडरलाही म्हणावी तितकी खात्री नव्हती. मात्र स्वत:वर हाच प्रयोग पुन्हा पुन्हा केलेल्या डॉक्टर फोर्समनला ही कॅथेटरची प्रोसिजर सुरक्षितपणे करता येऊ शकते असा आत्मविश्वास होता. त्याने एक्स-रे च्या मदतीने याचा पुरावाही दिला. या संपूर्ण प्रवासात त्याला केवळ एका डॉक्टरची साथ लाभली. त्याच्यावर विश्वास दाखवणाऱ्या डॉक्टरचं नाव होतं अर्न्स्ट उनगेर. याचं कारण म्हणजे त्यानेही या प्रकारचा प्रयोग यापूर्वी केलेला होता, पण तेव्हा तो आपला दावा सिद्ध करण्यासाठी पुरावा देऊ शकला नव्हता. बाकी दुनिया फोर्समनला हसत होती, त्याची टवाळी करत होती आणि त्याचे प्रयोग कसे अचाट, निरुपयोगी आणि धोकादायक आहेत हे सिद्ध करू पाहत होती. फोर्समनने मात्र आपलं काम सुरू ठेवलं. त्याने स्वतःबरोबरच ससे आणि कुत्री यांच्यावर प्रयोग करून कॅथेटर ऍन्जिओग्राफी म्हणजेच कॅथेटरच्या साह्याने रक्तवाहिन्यांमध्ये किती ब्लॉक्स आहेत किंवा त्या कितपत अरुंद झाल्या आहेत हे शोधण्याच्या तंत्रातले कच्चे दुवे शोधून काढले. त्याने कॅथेटरायझेशनचं अजून एक तंत्र विकसित केलं. यात जांघेजवळ छेद देऊन त्यातून कॅथेटर आत घातला जाई. मांडीजवळच्या फीमरल व्हेन या रक्तवाहिनीच्या मदतीने हृदयाशी संलग्न असलेल्या इन्फिरियर व्हेना काव्हा या व्हेन पर्यंत पोहोचणं शक्य होई.
एका विशिष्ट मर्यादेनंतर मात्र फोर्समन थांबला. त्याला तसं करणं भागच होतं. आधीच त्याने स्वतःच्या शरीरावर भरपूर प्रयोग केले होते. आता त्याला थोडा ब्रेक लावणं आवश्यक वाटलं असावं त्याला. शिवाय त्याच्या त्या प्रयोगांदरम्यान वैद्यकीय क्षेत्रातील सहकाऱ्यांचे अनुभवही त्याच्यासाठी फारसे चांगले नव्हते. अखेर कार्डिओलॉजीला रामराम ठोकत त्याने एका छोट्या गावात युरॉलॉजिस्ट म्हणून काम सुरू केलं.

पुढे एका कार्डिओव्हस्क्युलर इन्स्टिट्यूटमध्ये तिथला प्रमुख म्हणून काम करण्याची संधी त्याच्याकडे चालून आली. मात्र १९३५ मध्ये स्वतःवरचे त्याचे 'ते' प्रयोग बंद केल्यापासून त्याचा कार्डिओलॉजीशी फारसा संबंध राहिला नव्हता. त्या क्षेत्रातले अपडेट्स, त्यात झालेली प्रगती याबद्दल त्याला माहिती नव्हती. त्यामुळे त्याने तो प्रस्ताव नाकारला.
पण त्याची मेहनत, अभ्यास हे सर्व फळाला आलं ते १९५६ मध्ये, जेव्हा त्याला वैद्यकशास्त्रातला नोबेल पुरस्कार मिळाला. जर्मन मेडिकल कम्युनिटीने त्याला नाकारलं असलं तरी जागतिक स्तरावर त्याच्या कामाची दखल घेतली गेली होती. उशिरा का होईना त्याच्या कर्तृत्वाला जगन्मान्यता मिळाली आणि हेच त्याच्यासाठी सगळ्यात मोठं समाधान ठरलं.
लेखिका: स्मिता जोगळेकर






