आपल्याला लहानपणी शास्त्रज्ञांची एक गोष्ट सांगितली जायची. आपण सर्वसाधारण बुद्धिमत्तेचा माणूस आपल्या मेंदूचा फक्त १० टक्के वापर करतो, पण हे शास्त्रज्ञलोक आपल्या मेंदूचा ११, १२, १३, टक्के वापर करतात. म्हणून ते शास्त्रज्ञ असतात. तुम्ही जर तुमच्या मेंदूचा १०% पेक्षा जास्त वापर करू शकलात, तर तुम्ही आईनस्टाईन किंवा न्यूटनसारखे व्हाल. ऐकलीय ना ही गोष्ट?
पण आता या समजुतीला खुद्द शास्त्रज्ञांनीच खोटं ठरवलंय राव !! मानवी मेंदू फक्त १०% वापरला जातो हे विधान साफ चुकीचं आहे. कसं ? चला समजून घेऊ...

स्रोत
एका सर्वेक्षणानुसार ६५% अमेरिकन नागरिक मानतात की आपण मेंदूचा फक्त १०% वापर करतो. काही देशांत हे प्रमाण आणखी थोडं कमी मानलं जातं. तिथले लोक मानतात की आपण मेंदूचा फक्त ७% वापर करतो. हा समज एवढा पक्का आहे की या मुद्द्यावर आधारित सिनेमे सुद्धा येऊन गेले आणि ते सुपरहिटही झाले. पण संशोधकांचं असं म्हणणं आहे की आपण दररोज १००% मेंदू वापरतो.
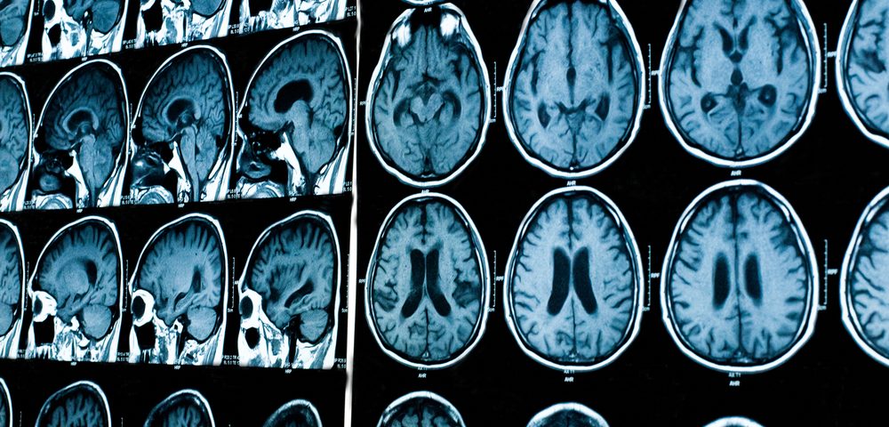
आपला मेंदू आणि मानसशास्त्राचा अभ्यास करणाऱ्या विज्ञानाच्या न्युरोसायकॉलॉजी शाखेनं याबाबत अभ्यास केला. मेंदूचा आपल्या स्वभावावर आणि भावनांवर कसा परिणाम होतो हे त्यांनी तपासलं. या अभ्यासातून असं लक्षात आलं की मेंदूचा प्रत्येक भाग शरीराच्या वेगवेगळ्या कार्याशी निगडीत असतो. ‘पॉझिट्रॉन एमिशन टोमोग्राफी’ आणि ‘फंक्शनल मॅग्नेटिक रेजोनेंस इमेजिंग’ या दोन आधुनिक तंत्रांमुळे मेंदूचा सखोल अभ्यास करता येतो. या पद्धतीचा वापर करून हे सिद्ध करण्यात आलंय की मानवी शरीराची हालचाल आणि त्याच्या रोजच्या कामं नियंत्रित करणारा मेंदू या दोन गोष्टी वेगळ्या करताच येत नाहीत. म्हणजे आता उदाहरणच द्यायचं झालं तर, जेव्हा आपण चॅट करतो, तेव्हा ३ गोष्टींवर नियंत्रण असलेले मेंदूतीलले विभाग सर्वात जास्त कार्यरत असतात. हे तीन विभाग म्हणजे डोळे, हात नियंत्रण करणारी व दृश्य समजून घेणारी बाजू. डोळ्यांनी दिसणारं दृश्य समजून घेऊन त्याच्यानुसार प्रतिक्रिया देण्यासाठी मेंदूच्या एका विशिष्ट विभागाचा वापर होतो. तर मोबाईल पकडण्यासाठी हातांवर नियंत्रण असलेला मेंदूचा विभाग यावेळी कार्यरत असतो. याचाच अर्थ मेंदूचा कोणताही भाग निष्क्रिय नसतो. मेंदूच्या प्रत्येक मज्जातंतूला आपापलं काम वाटून देण्यात आलेलं असतं.

आपण काम करत असताना त्या कामासाठी लागणारा मेंदूचा भाग कसा कार्यरत असतो हे मेंदूच्या आतल्या छायाचित्रांमधून दिसून आलेलं आहे. मेंदूच्या या फोटोंमध्ये काही ठळक चट्टे दिसून आलेत. हे चट्टे दाखवतात की मेंदूचा तो भाग कार्यरत आहे. त्याच्या विरुध्द इतर भाग अस्पष्ट दिसतात. याचं करणं म्हणजे तो भाग कार्यरत आहे, पण इतर भागांच्या तुलनेत कमी काम करत आहे. मेंदूला ‘प्लास्टिक ब्रेन’ म्हटलं जातं. आता प्लास्टिकचा शब्दशः अर्थ घेऊ नका राव. इथे प्लास्टिकचा अर्थ ‘लवचिक’. आपल्या कामाप्रमाणे आपल्या मेंदूचा विशिष्ट भाग इतर भागांपेक्षा जास्त विकसित होतो. म्हणजे असं बघा, बस चालकांपेक्षा टॅक्सी किंवा रिक्षा चालकांच्या मेंदूचा दिशा समजून घेण्याचा भाग जास्त विकसित झालेला आढळला आहे. कारण त्यांना शहरातील सगळेच रस्ते लक्षात ठेवावे लागतात. जसं आपल्या व्यायामाने व आहाराने शरीर घडत जातं तसंच आपल्या कामाने मेंदू घडत जातो.
मेंदू हा संपूर्ण शरीराचा फक्त २ टक्के हिस्सा आहे. पण हा लहानसा भाग संपूर्ण शरीरातली तब्बल २०% उर्जा वापरतो. जर मेंदूचा १०% वापर होत असेल तर एवढी उर्जा पाहिजे कशाला राव ? याचाच अर्थ मेंदूचा १००% वापर होत असल्याने एवढ्या मोठ्या प्रमाणात उर्जेची गरज लागते.
आता समजून घेऊया ‘१०% मेंदू’ची भाकडकथा आली तरी कुठून...

मंडळी, ही समजूत कशी पसरली याला कोणताही पुरावा नाही. असं म्हणतात की हे विधान आपल्याला प्रोत्साहन देण्यासाठी पसरवण्यात आलं होतं. जेणेकरून आपण आपल्या क्षमतेपेक्षा जास्तं चांगलं काम करावं. ही कल्पना तुम्हाला बऱ्याच ‘प्रेरणादायी’ पुस्तकांमध्ये सापडेल. नक्की कोणती पुस्तकं? तीच हो, ‘पहिल्याच भेटीत इतरांवर प्रभाव कसा पडाल ?’, ‘आपला आत्मविश्वास वाढवा’, ‘यशस्वी माणसांच्या सवयी’ असल्या गोष्टी सांगणारी.
असंही म्हणतात की आईनस्टाईनने १०% मेंदूच्या वापराचं गणित उलगडून सांगितलं होतं. पण ही सुद्धा एक भाकडकथाच आहे. याचे कोणतेही पुरावे उपलब्ध नाहीत.
पाह्यलंत ना मग मंडळी, लहानपणापासून आपल्याला शिकवली गेलेली १०% मेंदूची कल्पना कशी खोटी आहे ते.
आणखी वाचा :
मेंदू तल्लख आणि तरतरीत ठेवण्याचे ७ उपाय !!
या 3 प्रयोगातून तुम्ही तुमच्या स्वप्नांना कंट्रोल करू शकता राव !!






